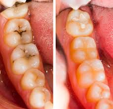
Dental Fillings
Where – any tooth where there is decay
When – Whenever Discoloration of tooth is observed
Why – To prevent from further decaying of tooth
Procedure – A Dental filling involves removal of carious tooth structure and filling it back with the use of Dental restorative materials like Zinc Oxide – Eugenol, Amalgam , Glass Ionomer Cement (GIC) and the Composite Filling.
Benefits – Removal of all carious tooth structure and free from cavities
Time – Each Filling requires around 10-15 mins time
